top of page
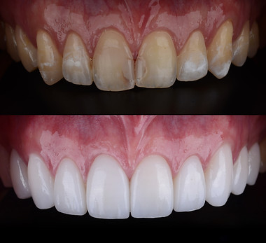
Estetisk behandling
Estetikk har blitt viktigere og viktigere for folk.
Folk ønsker et sunt, men også pent smil.
​
Hos oss i Frisk utfører vi kun tannvennlig estetisk behandling. Det vil si behandling som ikke innebærer unødvendig sliping og fjerning av tannsubstans.
​
På fagspråket kalles det enten non invasiv (helt uten sliping) eller minimal invasiv behandling (minimal sliping)

bottom of page





